
Причины состояния
Головная боль и слабость в организме могут появляться по разным причинам:
- развитие простудного или вирусного респираторного заболевания;
- развитие воспалительных процессов в организме;
- снижение артериального давления (гипотония);
- недостаток витаминов и минералов в организме (например, витаминов D и B12, отвечающих за транспортировку кислорода по кровеносным сосудам к головному мозгу);
- бесконтрольный прием некоторых лекарственных средств, вызывающих эти симптомы в качестве побочных эффектов;
- нарушение работы щитовидной железы, сахарный диабет и другие эндокринные патологии;
- эмоциональные нагрузки, стрессы;
- некоторые желудочно-кишечные заболевания, сопровождающиеся нарушением впитывания питательных веществ;
- сердечно-сосудистые болезни;
- менингит;
- доброкачественные и злокачественные опухоли;
- мигрень;
- синдром хронической усталости;
- недосыпание.
Как определить заболевание?
Как мы видим, причин головной боли и усталости может быть очень много. А как выяснить, являются эти симптомы признаками опасной патологии или нет?
Мнение эксперта
Филимошин Олег Александрович
Врач-невролог, городская поликлиника г. Оренбурга. Образование: Оренбургская государственная медицинская академия, Оренбург.
В этом вопросе важно понимать, что развитие серьезного заболевания всегда сопровождается появлением ряда сопутствующих симптомов, которые позволяют дифференцировать ту или иную проблему.
ОРВИ
Описание
Задайте свой вопрос врачу-неврологу бесплатно
Ирина Мартынова. Закончила Воронежский государственный медицинский университет им. Н.Н. Бурденко. Клинический ординатор и невролог БУЗ ВО «Московская поликлиника».Задать вопрос>>
Группа заболеваний, которые характеризуются развитием острого воспалительного процесса в органах дыхания из-за попадания вирусов в организм.
Тип боли
При ОРВИ она связана с повышением температуры и появлением острого воспалительного процесса в горле, пазухах, носоглотке.
Наиболее часто фокусируется в области лба и висков, сопровождается чувством давления, «распирания» и тяжестью.
Другие проявления
ОРВИ может сопровождаться повышением температуры тела до 38-39 градусов, заложенностью носа, кашлем, воспалением в горле, ломотой в теле, ознобом, общим недомоганием, резью в глазах. Иногда на его фоне появляются другие осложнения (отит, ларингит, бронхит и т.д.).
Методы диагностики и терапии
Диагностику проводит врач терапевт, иногда ЛОР. Назначается лечение в домашних условиях, которое включает: постельный режим, микстуры от кашля, сосудосуживающие капли в нос, растительные отвары для полоскания горла, чай с малиной и медом, средства для укрепления иммунитета (Анаферон, настойка эхинацеи, Иммунал).
Мигрень

Мигрень (migraine) – заболевание неврологического характера, отличительным признаком которого является появление мучительных головных болей, связанных с нарушением работы сосудов.
Мнение эксперта
Митруханов Эдуард Петрович
Врач-невролог, городская поликлиника, Москва. Образование: Российский государственный медицинский университет, ГБОУ ДПО Российская медицинская академия последипломного образования МЗД РФ, Волгоградский государственный медицинский университет, Волгоград.
Серьезные органические патологии (травмы, опухоли) при этом в картине заболевания отсутствуют.
Тип болевых ощущений
Мигрень сопровождается сильными и мучительными головными болями высокой или средней интенсивности, усиливающимися при движении, эпизодическими или постоянными, возникающими с одной или (реже) с двух сторон. При отсутствии лечения приступы могут длиться до 72 часов.
Другие проявления
Тошнота, рвота, фонофобия (чувствительность к громким звукам), учащенное сердцебиение, частое мочеиспускание, потливость, сонливость, вялость.
Методы диагностики и терапии
Диагностику проводит врач невролог. Диагноз утоняется по анализу жалоб пациента, лабораторным анализам, рентгенологическому снимку, МРТ.
Для лечения применяются: успокоительные средства (экстракт валерианы, Персен, Тенотен), растительные и искусственные антидепрессанты (настойка зверобоя, Амитриптилин), НПВП (Напроксен, Ибупрофен), анальгетики.
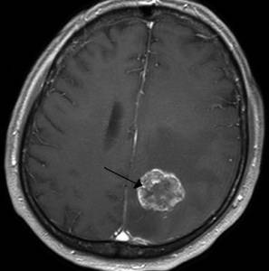
Злокачественная опухоль

Злокачественная опухоль характеризуется появлением патологического новообразования, опасного для человеческой жизни, состоящего из злокачественных раковых клеток, обладающих возможностью быстрого роста и метастазирования.
Тип боли
Интенсивность и характер болевого синдрома зависит от локализации опухоли, тяжести процесса, индивидуальных особенностей организма.
Другие проявления
На начальных стадиях опухоль может никак себя не проявлять вплоть до интенсивного роста новообразования. Тогда самочувствие пациента начинает резко ухудшаться, могут возникать: тошнота, утомляемость, рвота, нарушение слуха и зрения, трудности распознавания речи, расстройства общей и мелкой моторики и т.д.
Клиническая картина при раке очень обширна и многогранная.
Методы диагностики и терапии
Диагностика проводится комплексно и включает: КТ, МРТ, рентгенологическое исследование, лабораторные анализы, гистологию и цитологию. Лечение проводится хирургическое. Пациенту может быть назначен курс химиотерапии или лучевой терапии, а затем длительное медикаментозное поддерживающее лечение.
Менингит

Менингит – тяжелое инфекционное заболевание, характеризующееся воспалением головного и спинного мозга из-за попадания в организм бактерий, вирусов, или грибков.
Возникает как самостоятельное заболевание или в качестве осложнения.
Тип боли
Очень сильная, резкая, диффузная, распирающая, усиливающаяся при движении и повороте головы, а так же от резкого шума и световых раздражителей. При гнойном менингите болевой синдром особенно выражен.
Другие проявления
Пациента могут беспокоить так же: ломота в теле, тошнота, рвота, ригидность шеи, лихорадка, чувствительность к звукам и световым раздражителям, измененное состояние сознания, раздражительность, сонливость.
Методы диагностики и терапии
Для выявления менингита применяется люмбальная пункция. Из позвоночного канала врач извлекает спинномозговую жидкость и направляет ее в лабораторию для дальнейшего исследования. Диагноз подтверждается, если в ней находят вредоносных возбудителей (бактерии, вирусы). Больных менингитом лечат антибиотиками, противовирусными или противогрибковыми препаратами (в зависимости от типа возбудителя).
Иногда назначаются стероидные лекарства.
Боррелиоз

Боррелиоз (Болезнь Лайма) – инфекционное заразное заболевание, передаваемое человеку при укусе насекомыми и клещами.
Тип боли
При боррелиозе больного беспокоят сильные головные боли, чаще локализованные в глазном яблоке, могут отдавать в затылок. Симптомы не проходят даже тогда, когда человек спит.
Другие проявления
Ломота и скованность в мышцах и суставах, высокая температура до 40 градусов, тошнота, рвота, ощущение вялости, нарушение работы ЦНС и сердечно-сосудистой системы.
Болезнь преимущественно поражает кожные покровы, нервную и сердечно-сосудистую систему, опорно-двигательный аппарат.
Способы диагностики и лечения
Болезнь Лайма диагностируется на основании клинической картины, эпидемиологического анамнеза (прогулка в лесу, укус клеща), серологического исследования на выявление антител к боррелиям в сыворотке крови. Может применяться метод ИФА или ПЦР. Лечение назначается комплексное. Выбор препаратов зависит от тяжести болезни. Обязательно назначаются антибиотики, а так же нестероидные противовоспалительные препараты (Напроксен, Индометацин), иммунодепрессанты (Плаквенил), анальгетики, общеукрепляющие средства.
Артериальная гипертония

Заболевание сердечно-сосудистой системы, главным признаком которого является стойкое повышение артериального давления (от 140/90 и выше).
Тип боли
При гипертонии она сжимающая или генерализованная, пульсирующая, иногда вызывает ощущение плотной повязки на голове.
Как правило, сильнее проявляется по утрам, а в течение дня затихает.
Другие проявления
Тошнота, заложенность и шум в ушах, пелена в глазах, учащенное сердцебиение, ощущение давления в глазах, головокружение, вялость, подавленность.
Методы диагностики и лечения
Постановку диагноза осуществляет врач кардиолог на основании анамнеза, жалоб пациента, холтеровского мониторирования, ЭКГ, систематического измерения давления. Лечение комплексное, медикаментозное.
Специалист назначает блокаторы рецепторов ангиотензина, диуретические средства, антогонисты калия, лекарства для очищения сосудов и т.д.
Абузусная головная боль

Специалисты так же называют ее «рикошетной» или «лекарственной». Ее главной причиной является злоупотребление различными аптечными препаратами. Она относится к вторичным формам цефалгий, тесно связана с мигренью.
Тип боли
Проявляется двусторонней цефалгией сжимающего или давящего характера, умеренной или слабой интенсивности. Может быть диффузного характера, локализоваться в лобно-затылочной части или в височной области.
Усиливается при интеллектуальной и физической нагрузке.
Другие проявления
Усталость, вялость, подавленность настроения.
Методы диагностики и терапии
Диагностика осуществляется на основе анамнеза, расспроса пациента о принимаемых препаратах. Для снятия абузуса снижают дозировку принимаемого лекарства или полностью его отменяют, назначают средства от цефалгии, иногда антидепрессанты.
При тяжелом состоянии может потребоваться детоксикация.
Другие причины

- Заболевания придаточных пазух носа (гайморит, этмоидит, фронтит). Болит голова и слабость во всем теле, заложенность носа, давление и тяжесть в голове при наклоне вниз – типичные жалобы при синуситах, которые описывает пациент на приеме у специалиста
- Аллергические реакции. Особенно часто с этими симптомами сталкиваются весной в период активного цветения при аллергии на пыльцу растений и цветов. Пациенты жалуются, что у них болит голова и хочется спать, заложен нос, появляется слезотечение, сыпь на коже и другие признаки поллиноза.
- Гиперсомния — продолжительность ночного сна без объективной необходимости и усталость днем. Сонливость, усталость, головная боль – главные признаки этого состояния. Кстати, астения является разновидностью гиперсомнии.
- Анемия (малокровие) так же характеризуется вялостью, усталостью, болевым синдромом. У пациентов с анемией отмечается снижение гемоглобина, недостаточность функционирования эритроцитов, нехватка кислорода в крови. Отсюда и появляются все эти неприятные симптомы.
- Сахарный диабет и другие проблемы в области эндокринологии тоже являются причиной появления перечисленных симптомов. Диабет сопровождается так же повышением уровня сахара в крои, пониженным давлением, головокружением, сонливостью, жаждой.
Обратите внимание, что это лишь часть тех возможных болезней, при которых могут возникать слабость и головная боль.
Истинную причину этих симптомов может выяснить только специалист.
Алгоритм диагностики
Способы и методы диагностики подбираются индивидуально. Вначале врач осматривает пациента, оценивает характер жалоб, расспрашивает о недавно перенесенных болезнях и хронических недугах. Затем врач уточняет локализацию болевых ощущений, их длительность, частоту возникновения и т.д.
Примерный список вопросов
- Как давно вас беспокоит болевой синдром и слабость?
- Можете ли вы указать, в каком месте вы ощущаете болевые ощущения?
- Как часто вас беспокоят эти симптомы?
- Ощущаете ли вы тошноту в момент приступов?
- Возникают ли у вас головокружения?
- Усиливаются ли симптомы при физической нагрузке?
- Влияет ли ваше состояние на общую активность в течение дня?
- Наблюдали ли вы у ваших родственников похожие признаки?
- Чем вы снимаете неприятные ощущения?
- Какие лекарственные препараты принимаете в настоящее время?
- Какими заболеваниями болели в ближайшие месяцы?
- Какие есть хронические заболевания вас и у ближайших родственников?
Если консультации с пациентом будет недостаточно, врач назначает дополнительные методы диагностики, например, лабораторные анализы, ЭКГ, МРТ и т.д.
На основании полученных данных будет выставлен точный диагноз.
Как снять симптомы самостоятельно?
Если неприятные симптомы были вызваны физической усталостью, умственными нагрузками или напряжением в течение рабочего дня, болевой синдром можно устранить самостоятельно, не прибегая к лекарственным препаратам.
Положительное действие оказывают пешие прогулки на свежем воздухе, контрастный душ, принятие теплой ванны с морской солью, проветривание помещения, медитация. Можно просто полежать, расслабиться, послушать спокойную музыку, почитать легкую интересную книгу.
Если болит голова, можно сделать ароматный чай с листьями мяты, шиповником, лимоном, клюквой или ромашкой. Такие напитки обладают общеукрепляющим, успокаивающим действием, придают сил, повышают иммунитет, улучшают работу головного мозга.
В некоторых случаях возможен прием простых обезболивающих средств (Ношпа, Спазган).
При этом следует помнить, что у каждого средства есть противопоказания и побочные действия, поэтому лучше перед их применением посоветоваться с врачом.
В каком случае обращаться к врачу?
Пациенту важно знать! Если болевые ощущения в голове и усталость сопровождаются другими симптомами (тошнота, рвота, нарушение зрения, чувствительность к громким звукам, дезориентация в пространстве и т.д.), следует незамедлительно обратиться к врачу для оказания помощи!
Посмотрите видео на эту тему

Заключение
Слабость и головная боль – распространенные симптомы, с которыми врачам приходится сталкиваться в клинической практике достаточно часто. Чаще всего они не представляют угрозы для здоровья и жизни пациента, легко купируются домашними и легкими медикаментозными средствами.
Но бывают ситуации и более тяжелые, когда признаки эти могут указывать на развитие серьезных заболеваний. Поэтому врачи советуют быть внимательными к своему самочувствию и при необходимости не откладывать визит к врачу. Будьте здоровы.
Источник
Боль в голове – признак нарушения при функционировании мозгового кровообращения. Такой вид боли чаще всего распространён в медицинской практике. Это не только неприятное последствие, вызванное провокационным внешним либо внутренним фактором, но и возможный симптом болезни в человеческом организме. Первым делом важно определить причины возникновения регулярных головных болей, это поможет выбрать способ с ними справиться.
Причины головной боли
У постоянной головной боли обязательно имеется причина, которая может быть вызвана:
- стрессовой ситуацией;
- недостатком или избытком сна;
- перенапряжением глаз;
- гормональным сбоем;
- длительным принятием лекарственных препаратов;
- избыточным весом;
- травмой головы;
- употреблением алкоголя;
- хронической усталостью.
Стрессовые ситуации
Хотя незначительный стресс не наносит вреда организму, нахождение в состоянии постоянного стресса и напряжения приводит к ежедневным головным болям и бессоннице.
Недостаток или избыток сна
Здоровый сон восстанавливает физическое и психологическое состояние организма в целом. При недосыпании или, наоборот, при избытке сна могут возникнуть боли в голове, которые со временем способны стать регулярными. Человеку для нормального функционирования и отсутствия неприятных последствий необходимо спать в течение суток 6-7 часов.
Перенапряжение глаз
При длительной работе с бумагами либо за монитором компьютера, при неправильно подобранных очках или не слишком ярком освещении в помещении происходит перенапряжение мышц глаз, что способно спровоцировать сильную боль в голове.
Гормональный сбой
Изменение уровня гормонов способно стать причиной, почему болит голова каждый день. Такие изменения в гормональном фоне чаще всего случаются у женщин в менструальный и предменструальный период, во время климакса или менопаузы, а также беременности.
Приём лекарств
Длительное использование лекарственных препаратов может также стать причиной ежедневных головных болей, например, при употреблении обезболивающих средств. Также это может быть сигналом к тому, что какое-то лекарство, прописанное доктором, не подходит вам, и ежедневные головные боли – всего лишь побочное действие, от которого можно избавиться, заменив препарат аналогом.
Избыточный вес
Если у вас каждый день болит голова при избыточном весе, это знак организма о возможном заболевании.
Травма головы
Боль в голове при черепно-мозговой травме может длиться 2-8 недель. Если приступы не прекращаются и после, следует обратиться к врачу в связи с хронической посттравматической головной болью.
Употребление алкоголя
Определённая доза алкогольного напитка либо плохая переносимость алкоголя способны привести к дискомфорту.
Возможные последствия
Регулярная боль в голове – уже само по себе последствие, которое может наступить, если запустить лечение болезни, это также может быть сигналом организма о появлении проблем со здоровьем. Помимо этого, боль может перерасти в серьёзное заболевание – мигрень, если не предпринимать действий для избавления от болей. Последствиями ежедневных головных болей могут также быть:
- головокружение,
- тошнота,
- упадок сил,
- рвота,
- депрессия,
- бессонница,
- температура и т. д.
Головная боль – возможный симптом
Ежедневные головные боли отличаются по своей силе и частоте в течение дня, и могут быть сигналом организма о какой-либо болезни. Помимо этого, боль в голове может сопровождаться также и другими симптомами, такими как головокружение, тошнота, потемнение в глазах, рвота и т. д.
Список возможных заболеваний с подобным симптомом:
- черепно-мозговая травма;
- гипертония;
- онкологическое заболевание;
- остеохондроз в шейном отделе;
- менингит;
- интоксикация;
- глаукома;
- диабет;
- гормональный сбой;
- атеросклероз.
Не стоит также забывать, что чаще всего причиной головных болей, ежедневно случающихся у человека, могут быть усталость, перенапряжение и т. д.
Основные виды боли
- Стрессы, перепады давления, активная умственная работа и перенапряжение чаще всего приводят к появлению регулярной боли в висках. К этому же приводит запущенная мигрень и длительное использование лекарственных препаратов, к которым у организма может выработаться привыкание.
- Если каждый день болит голова в зоне затылка, это может быть признаком повышенного артериального давления, заболевания шейного отдела позвоночника (например, остеохондроза) либо сильной нагрузки на эту область, а также знаком неврологического заболевания.
- В лобной части головы боль может возникнуть из-за письменной работы или долговременного нахождения за компьютером, при нахождении в шумном или людном месте, из-за зрительного перенапряжения. Боль в лобной части также может быть сигналом к ряду заболеваний, таких как:
- новообразования или сосудистые заболевания головного мозга,
- болезнь, связанная с психическим состоянием,
- хроническая интоксикация (инфекционная или токсическая) и другими.
- Причиной, почему боль может возникать по утрам и даже сохраняться целый день, является недосыпание или, наоборот, слишком продолжительный сон. В последнем случае (и при дневном сне каждый день) боль возникает из-за увеличения притока специальной жидкости – ликвора, которая омывает мозг.
- Если к вашей проблеме добавилась тошнота или головокружение, в первом случае это может быть связано с повышенным или пониженным давлением, с ожирением или интоксикацией организма.
Во втором случае головокружение и обмороки добавляются при тяжёлых травмах, при отёке мозга или при сильном приступе мигрени. - Слабость в виде покалывания пальцев рук и ног или их онемения, а также с чувством тяжести в зоне затылка может быть знаком о серьёзном заболевании, таком как:
- менингит,
- инфекция тканей головного или спинного мозга,
- артрит и т. д.
- Температура обычно добавляется при простудных и инфекционных заболеваниях, при менингите и во время менструального цикла.
- Пульсирующая боль связана с:
- вегетососудистыми заболеваниями,
- опухолями,
- при мастоцитозе,
- употреблении алкоголя или из-за стрессовых ситуаций.
- Давящая – более частый вид боли, случающийся обычно из-за перенапряжения или слишком долгой работы, однако может быть также и симптомом абсцесса мозга, энцефалита и других болезней.
Что делать при головных болях
В первую очередь необходимо проконсультироваться с врачом, если каждый день болит голова уже продолжительное время, поэтому самолечение рекомендуется только на начальном периоде. В зависимости от вида боли и её силы врач назначит необходимые анализы, среди которых могут быть:
- общий и клинический анализ крови;
- ультразвуковую допплерографию (иначе УЗДГ) сосудов шейного отдела и головы;
- МРТ шейного отдела, головного мозга, а также спины;
- электроэнцефалографию (иначе ЭГГ);
- липидограмму;
- консультацию у офтальмолога, психолога или других специалистов.
Важно выяснить характер болей и обозначить причину их возникновения, а затем избавиться от неё. Таблетки (анальгетики и обезболивающее) лишь временно уменьшают головную боль, поэтому не являются решением проблемы.
Избавиться от большинства видов болей в голове обычно можно следующим образом:
- приняв душ либо тёплую ванну;
- прогулкой на свежем воздухе;
- массажем головы, висков или затылка;
- физической разминкой плеч и шеи;
- тёплым молоком с небольшим количеством мёда или горячим чаем с валерианой, мелиссой, пустырником и другими травами с успокаивающим эффектом.
При более сильных болях рекомендуется:
- чаще дышать свежим воздухом (гулять и проветривать помещение, где вы находитесь);
- по возможности избегать шума и резких звуков;
- соблюдать строгий режим сна – спать 6-7 часов за сутки;
- избегать запахов и резких вкусов;
- приложить холодный компресс на лоб;
- использовать ароматерапию с помощью лимонного, лавандового, розового и других масел;
- включить в рацион больше овощей и фруктов;
- избегать резких перепадов температуры;
- в прохладное время пользоваться головным убором;
- избегать стресса и волнения;
- использовать упражнение с глубоким дыханием, при котором задействованы мышцы живота;
- спать врачи советуют в помещении с хорошей вентиляцией и средней температурой;
- ежедневно повторять упражнения для глаз;
- пить в течение дня достаточное количество жидкости;
- расслаблять мышцы плеч и шеи с помощью массажа;
- по возможности взять отпуск;
- как можно реже включать телевизор либо компьютер;
- планировать отдых и рабочее время.
Профилактика болей в голове
Профилактические действия тоже важны при избавлении от болей в голове, чтобы избежать их повторного возвращения.
Несколько практических советов, как избежать головных болей:
- не сутультесь, не опирайтесь на подлокотники кресел, это заставляет мышцы шеи, плеч и головы напрягаться;
- не рекомендуется подбородок делать точкой опоры (например, прижимать его к груди);
- при выборе подушки для сна ориентируйтесь на её комфортность, чтобы позвоночник и шейный отдел не прогибались, когда вы лежите;
- старайтесь не запускать длительный и сильный кашель, из-за которого может разболеться голова;
- не рекомендуется работать за монитором компьютера или читать книгу, низко наклонив голову;
- не напрягайте долго лицевые мышцы;
- соблюдайте режим сна;
- избегайте стресса и волнений;
- принимайте расслабляющую ванну или душ перед тем, как лечь спать;
- старайтесь меньше времени проводить перед телевизором или за компьютером.
Источник

